齒顎矯正案例


牙齒蛀到一定程度有解決方法?
很多人以為蛀牙只是小問題,但當門牙蛀到一定程度,治療可能需要牙冠增長術甚至矯正拉出才可以做假牙 。今天就來分享君悅的一位患者的經歷,讓大家了解完整流程。
在幾年前君悅有一位C小姐來找院長看診,想解決門牙的問題,院長建議用先用矯正拉出的方式以及牙冠增長術的方式完成這個案例 。(圖一)
先做矯正拉出:牙齒雖然被拉出來了,骨頭和牙齦也跟著變長,所以要做牙冠增長術。
後做牙冠增長術:將變長的骨頭和牙肉修除,讓有足夠的牙齒長度製作假牙本身 ,所以兩個療程都是缺一不可的。
再過沒多久C小姐因外出遊玩不慎又撞斷門牙,幸好及時回來找院長救治!讓我們還給他一口健康漂亮的牙齒!(圖二)
#牙醫 #外觀 #門牙
https://epaper.ntuh.gov.tw/health/202107/project_1.html

前牙咬不到好困擾
現代越來越多人想改善牙齒排列,
但不知道該選傳統矯正,還是隱形矯正?
而這兩種矯正方式君悅都有✨
矯正專科醫師會依照每位患者的條件與需求,量身設計最合適的矯正方案。
🧑🏻⚕️🦷案例分享
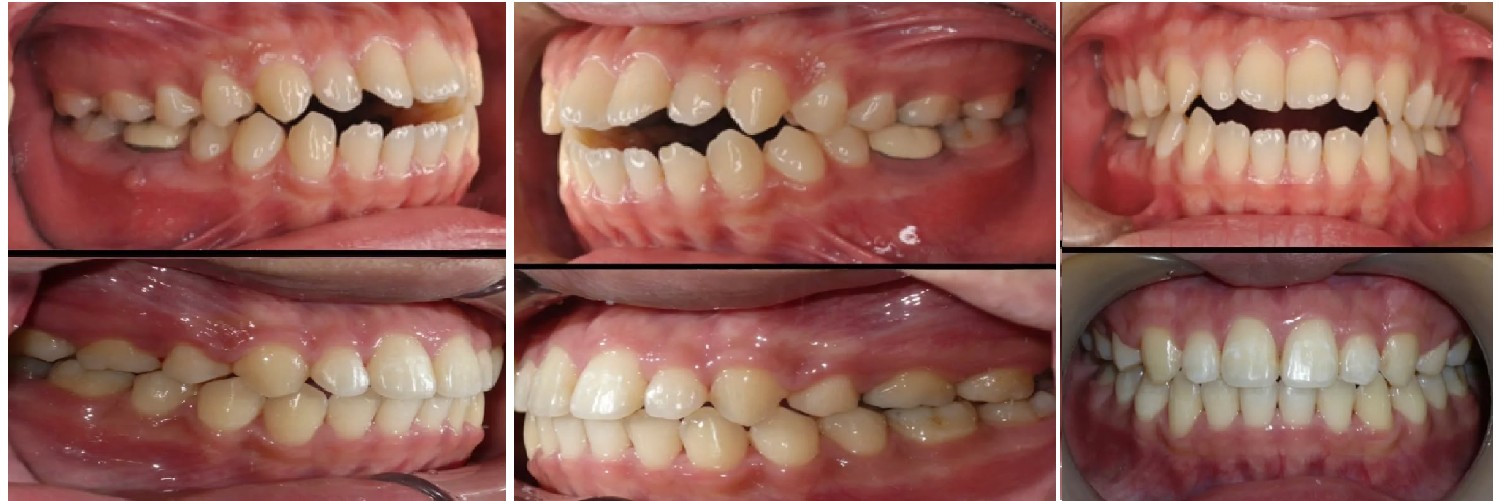
這位患者屬於開咬案例,治療前上下前牙無法咬合,經過矯正後恢復正常咬合,笑容也更自然。
造成開咬的原因可能包括:
1️⃣舌頭推牙
2️⃣長期口呼吸
3️⃣骨性結構問題
若能及早治療,不僅外觀改善,功能也更健康。
✨🦷Invisalign 隱適美
過去隱形矯正多用於輕微排列問題,
但隨著臨床資料不斷累積、AI演算持續進步,
現在隱適美的資料庫已經能處理更多複雜案例。
而隱適美透明美觀,可自行摘戴、舒適度高,
是兼顧美觀與生活便利的理想矯正選擇。
⚙️🦷傳統矯正
雖然現在隱形矯正越來越普及,
但傳統矯正仍在「細節調整」與「骨性問題處理」上有它的強項。
醫師能透過固定式矯正器直接控制牙齒移動,
對於複雜齒列問題仍是穩定且有效的選擇。
其實矯正不只是讓牙齒變整齊、外型變好看,
更重要的是讓牙齒得到更好的照護。
如果你也想改善笑容或對矯正還有疑問,
歡迎預約矯正諮詢,讓君悅陪你一步一步,走向更自信的笑容 🤍
#齒顎矯正
#開咬
#口呼吸
#傳統矯正(金屬)
#隱適美

在做矯正時,通常根管治療後的牙齒會做上臨時假牙,既保護牙齒且方便醫師對牙齒移動。(如是牙橋須先拆成前後單顆的假牙才能方便移動,一整組的是無法推動牙齒的)
矯正時的臨時假牙該如何處理呢?
我們會依原本牙齒軸向製作(牙齒的形狀與位置),雖然會較不美觀,但先將臨時假牙製作成原本的樣子,在矯正調整牙根的軸向後,讓牙齒得到較好的位置與均勻厚度,以製作最終的假牙。
如果臨時假牙不做調整,臨時假牙會被相鄰的牙齒卡住,沒有足夠的空間可以移動。

F小姐曾是牙醫助理,了解許多咬合不正都可以利用矯正的方式處理,於是找矯正醫師諮詢,醫師初步評估前牙後牙皆有錯咬。
F小姐想做矯正,想要美觀、好清潔。
接下來做完矯正的資料收集、聽治療計劃並開始做矯正,以每3-4週回診的頻率,維持了幾年,終於在今年完成治療了,未來的日子也要配戴維持器,避免牙齒有變化。
矯正流程:矯正評估→資料收集→聽治療計劃→開始矯正→每3-4週回診調整→完成治療→配戴維持器
矯正是個漫長旅程,有許多食物(黏的、硬的、有嚼勁)是不能碰的,每餐都要刷牙(牙線、牙間刷),雖然過程很辛苦,但看到成果真的很開心。


