



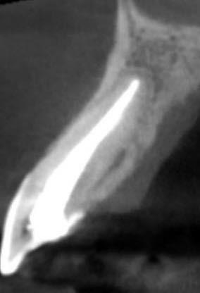
Treatment of the palato-radicular groove and cemental tear: a case report
Deep probing depth and CT scan can be done to diagnose the periodontal disease and cemental tears. Open flap surgery to remove tears of cementum and composite resin fills the groove. Then, GTR with FDBA and collagen membrane.
⚠️ Includes surgery photos
#GTR
#cementaltears
#palatoradiculargroove
牙周再生手術
今日分享因發育溝和牙堊(骨)質分離而導致嚴重牙周病的罕見案例,此患者年輕,其他牙齒狀況好,口腔清潔佳,唯獨側門牙有嚴重的牙周破壞,經簡院長診斷和同仁解釋病情後,患者接受了牙周再生手術,目前復原情況良好,持續回門診追蹤當中。百謙院長強調,臨床上有時會遇到門牙的顎側發育溝較深的情況,只要定期檢查即時填補起來,即可避免蛀牙也可避免牙周破壞,勿需過度擔心。
⚠️內含手術照片
#牙周再生手術
#顎側牙根發育溝
#牙骨質分離

一次完成兩種術式解決不同問題,穩定療效,也能降低不適感
S小姐想全口重建,請醫師進行評估,醫師跟S小姐討論後
左下的第一小臼齒因骨頭有缺失進行牙周再生手術,而第二小臼齒以植牙的方式重建,醫師說明這兩個手術互不衝突,且位置剛好相近,所以與S小姐討論後決定一次的手術時間,完成兩種術式,可避免該區域有連續兩次的傷口,不舒服感也會加乘。
手術順利結束,接下來等待骨頭與植牙骨整合後就可以做後續的假牙製作,牙周再生的部分也長的很好,將以前的缺失都補回了。
#全口重建
#一次手術完成
#牙周再生&人工植牙

牙周病的恐怖...
我們曾經努力過
他帶我吃遍美食,我們共同生活五十多年,一直到我不舒服,他帶著我去門診檢查,醫師看了看也拍了張X光片,欲言又止的告訴他我的狀況,「很抱歉!它的狀況很糟,累積很多結石,可能你會失去它」,當下聽到這消息的他,一直懇求醫師,幫他將我留下,醫師說我們可以嘗試先做治療,治療後評估它的恢復程度。
接著我做了一連串治療,醫師發現仍藏許多結石,可能因深度和凹陷的關係而被擋住,醫師無奈的說「我們只能將它移除」。
原來我本該是移除的牙齒,醫師為了我而盡力保留,雖然結果是失敗的,但我不遺憾,至少我們都努力過。
人生中,本來就會遇到類似的情況,雖然明知道只有30%的機會成功,如果不奮力一搏,原本30%就成了0%,讓自己徒留遺憾。
https://www.instagram.com/p/DJGbV4VvxJI/?igsh=MXRpZzN6NWFxMjVwZg==
#雖然失敗,仍努力過
#牙齒伴隨我們一生

👀牙結石的樣貌👀
固定線能夠暫時穩定晃動的牙齒🦷
牙周病是個慢性疾病,當狀態嚴重,骨頭受到破壞致使牙齒搖晃,醫師可能採用*固定線*來暫時固定牙齒。
在矯正後維持,其中的選項就是固定線,醫師會將固定線黏在前牙區,維持矯正後牙齒的位置,但缺點是無法正常使用牙線。
本案例目前接受牙周治療,為了美觀需求,將固定線放在下頷前牙區的內側(舌側),外觀而言,像隱藏裝置一樣,既看不到也不會影響咬合,但此裝置只是臨時效果,沒有辦法久放。
#牙周病
第一階段治療
第二階段治療(牙周再生手術)



此次分享一位T小姐
右上側門牙經由牙周再生手術,誘導牙周細胞的再生,修復先前受損的牙周組織。
左下第一大臼齒可以發現植體周遭的骨頭破壞大, 與患者討論後透過手術,將骨缺損範圍補骨,並於六個月後補牙肉,讓植牙有硬的牙肉保護。
2018年手術完成,五年後的追蹤補骨的成效非常好👍🏻搭配患者平常照護清潔也做很好👍🏻👍🏻

牙周病會引起牙齒鬆動、吃東西無力、口腔氣味不佳牙齦流血等議題。百謙院長感謝T小姐在做完牙周治療後,持續將自己牙齒🦷照顧好,讓治療結果在五年後依然很棒👍
GTR: Tetracycline + NS, Gentamicin irrigation, BioOss(s) + Lyoplant
#牙周治療
#引導牙周再生手術
#新莊牙周治療診所推薦
